Ana Sayfa Ara
uyku - arama sonuçları
Aradığını bulamadıysan, yeni bir arama yap
Uzaylıları Hiçbir Zaman Göremeyecek Miyiz?
PETER DOCKRILL
Bir fizikçi, uzaylıları hiçbir zaman göremeyeceğimize yönelik epey moral bozucu bir açıklama öne sürmüş.
Evren hayal edilemez denli büyük ve belki de yaşam sunan...
36 Adet Mafsallı ‘Jet’ Motoruyla Dikey Şekilde Havalanan Elektrikli Hava Taksisi
300 kilometrelik bir menzile sahip ve şehirde dolaşmak için uygun hale getirilmiş.
Binip uçtuğunuz her uçak, temel olarak aynı görünüyor: Sabit kanatları, pervaneleri veya jet...
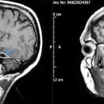
Korkutan Bir Vaka Çalışması, Kulaklarınızı Kulak Çöpüyle Temizlememeniz Gerektiğini Gösteriyor
Kulaklarınızı kulak çöpleriyle temizlemeyi bırakmak için yeni bir sebebiniz var. Bir adamın kafatasında meydana gelen ve muhtemelen yaşamı tehdit eden bir enfeksiyon, bu alışkanlığı...
Vardiyalar Halinde Uyuduğumuz Zaman, Beynimizde ve Vücudumuzda İlginç Şeyler Oluyor
Yapılan araştırmalar, uykunun vücutlarımızı nasıl etkilediğine dair birçok şeyi anlamamızı sağladı. Şimdiyse yeni bir araştırma, bunlara yenisini ekliyor: Öğleden sonra kestirmek; ruh halimiz, hafızamız...
Sinirbilimciler, Tamamen Yeni Olan Sinirsel Bir İletişim Şekli Buldu
Bilim insanları, beyin dokusu boyunca kendi kendine yayılabilen ve beyin dokusunun bir bölümündeki sinirlerden diğerine (ameliyat ile koparılmış olsalar bile)bağlantı olmadan atlayabilen; daha önce...






